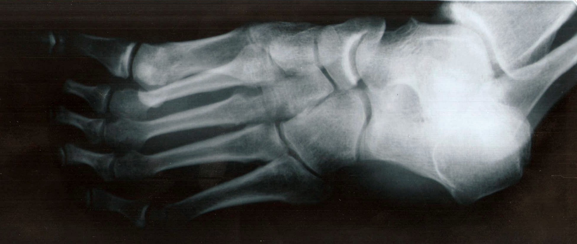
|    Prezados Amigos  Coloco a evolução do trauma no pé direito
que sofri em 20 de março de 2008.
 
quinta-feira a tarde, trazendo uns tocos cortados para servirem
de bancos no quintal, deixei um cair do porta-malas do carro sobre meu
pé D, batendo em cima (dorso).
 
Fiz gelo, deixei imóvel, usei Arnica
montana cH12 em alta frequência.
 
Apareceram hematomas localizados e inchaço. Os locais, foram: 
 
Com melhora em uma semana comecei a apoiar o calcanhar no chão,
o que resultou em recrudescência dos hematomas, edemas, e dores nestas
regiões que irradiavam para os músculos da perna.
abaixo do maléolo medial, 
no lado de dentro do pé, 
no peito do pé, 
no começo dos dedos menores, 
e na planta do pé, lugar do "Plexo
Solar".  |  |